Gary Sinise reveló que su hijo Mac murió en enero y afirmó que se sentía «afortunado y orgulloso» de ser su padre.
Gary Sinise, quien actuó en Forrest Gump y la serie de televisión CSI Nueva York, anunció la muerte de su hijo Mac, de 33 años, que había sido diagnosticado con una forma muy rara de cáncer.
En un comunicado publicado en el sitio web de la Fundación Gary Sinise, el actor dijo que la familia estaba “desconsolada” y “enfrentándolo lo mejor que podemos”.
Añadió que se sentía “bendecido, afortunado y orgulloso” de ser el padre de Mac.
Mac, cuyo nombre completo era McCanna Anthony Sinise, se graduó en la Escuela de Música Thornton de la Universidad del Sur de California y era un “baterista excepcional”, afirmó su padre.
Sinise dijo que le diagnosticaron cordoma en agosto de 2018, solo 2 meses después de que a su esposa Moira le diagnosticaran cáncer de mama en etapa 3.
Su esposa entró en remisión y permanece libre de cáncer después del tratamiento. Sin embargo, el cáncer de Mac se extendió y “lo incapacitó cada vez más”, escribió Sinise.
“Como padres, es muy difícil perder a un hijo. Mi corazón está con todos los que han sufrido una pérdida similar y con cualquiera que haya perdido a un ser querido, afirmó.
“Es desgarrador y tremendamente difícil. La lucha contra el cáncer de nuestra familia duró 5 años y medio y se volvió cada vez más difícil a medida que pasaba el tiempo”.
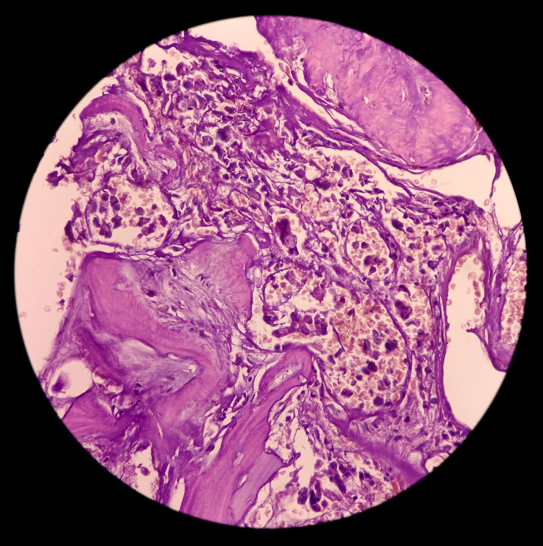
Qué es el cordoma
El cordoma es un tipo de cáncer de hueso muy raro y de crecimiento lento.
Los cordomas crecen a partir de la notocorda, que forma el tejido espinal temprano en el desarrollo del bebé en el útero.
Durante el desarrollo, la notocorda es reemplazada por hueso. Pero a veces, pueden quedar pequeñas áreas de notocorda en los adultos.
Aproximadamente 35 de cada 100 cordomas (35%) crecen en la base del cráneo y 50 de cada 100 (50%) en el hueso (sacro) entre los huesos de la cadera. El resto se desarrolla en los huesos de la columna.
A nivel mundial, cada año se diagnostica un caso de cordoma por un millón de personas.
Como es un cáncer muy raro, no se sabe cuáles podrían ser las causas de la enfermedad. Pero es más común en hombres que en mujeres y suelen diagnosticarse entre los 40 y 60 años.
Como los cordomas tienden a crecer lentamente, los pacientes suelen tener síntomas muchos meses antes de ser diagnosticados. Y los síntomas dependen de dónde está ubicado el cordoma.
Asimismo, el pronóstico y evolución del cáncer dependerá del lugar donde se formó el tumor y de varios otros factores, como su tamaño y la posibilidad de extirparlo con una cirugía.
Sinise, quien interpretó al teniente Dan Taylor en la película ganadora del Oscar de 1994, Forrest Gump, junto a Tom Hanks, dijo que a la familia “tiene un enorme dolor extrañando a Mac”.
Pero añadió que se sienten reconfortados al saber que ya no sufre y que estaban “inspirados y conmovidos por la forma cómo lo manejó”.
“Libró una dura batalla contra un cáncer que no tiene cura, pero nunca dejó de intentarlo”.
Sinese, de 68 años, llamó a su hijo “una inspiración increíble para quienes lo conocieron y lo amaron”.
Y agregó: “Enfrentó su batalla con gracia, coraje y amor. Incluso con un revés tras otro, nunca dejó de vivir y aprender, creando y dando, y amando”.
Y recuerda que puedes recibir notificaciones. Descarga la última versión de nuestra app y actívalas para no perderte nuestro mejor contenido.
BBC News Mundo

